審美歯科症例 R.Kさん(36歳女性)
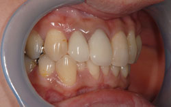
治療前




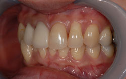
治療後




上顎2本の歯をオールセラミッククラウンで修復しました。
| 年齢・性別 | 36歳 女性 |
|---|---|
| 治療費 | 220,000円(税込) |
| 治療期間 | 2週間 |
| 通院回数 | 2回 |
| リスク・注意点 | 歯肉から出血したり、腫れたりしている方はその治療後にセラミック治療を行います。 |








上顎2本の歯をオールセラミッククラウンで修復しました。
| 年齢・性別 | 36歳 女性 |
|---|---|
| 治療費 | 220,000円(税込) |
| 治療期間 | 2週間 |
| 通院回数 | 2回 |
| リスク・注意点 | 歯肉から出血したり、腫れたりしている方はその治療後にセラミック治療を行います。 |