インプラント
このページの目次
- 1 【まことデンタルクリニック流】精密インプラント治療のための6条件
- 2 インプラント治療とは?
- 3 ① 執刀はキャリア豊富なインプラント認定医によります
- 4 インプラント治療例のご紹介
- 5 ② 緻密・精密な診断を行うためにCTスキャンを用います
- 6 ③ インプラント治療のリスクやデメリットもきちんとご説明します
- 7 ④ 治療を安心して受けていただくための安全環境づくり
- 8 ⑤ インプラント治療対象者を広げる骨造成法も対応しております
- 9 ⑥ インプラント治療後のアフターケアも万全に行います
- 10 インプラント治療に関するQ&A
- 11 インプラント治療/料金一覧
- 12 インプラント+入れ歯
- 13 自由診療キャンセルポリシー
- 14 川越市でのインプラント治療希望者は相談へお越しください
【まことデンタルクリニック流】精密インプラント治療のための6条件

外科的処置としてのインプラント治療を安全に行うには、準備や環境を万端に整えた上で、技術と経験を豊富に持ち合わせた執刀医の手による必要があります。それらを全て備えた当院では、精密なインプラント治療をご提供しております。そのため川越市からだけではなく埼玉県全域から、インプラントをご希望なさる方々のご来院をいただいております。当院では精密インプラント治療をご提供するにあたって6つの条件を満たすように心掛けております。
インプラント治療とは?

インプラントとは、歯を失った部分の顎骨に人工歯根を埋め、その上に人工の歯を取り付けて咬み合わせを回復する治療法です。天然歯に近い咬み心地と審美性を兼ね備えており、入れ歯やブリッジなどの治療法に比べて、周囲の歯に負担がかからないのが特徴です。
人工歯根は生体親和性の高いチタン製が一般的で、金属アレルギーなどのリスクもほとんどありません。また、手術と聞くと大掛かりなイメージですが、一般的な症例であれば通常の治療と変わらない位の所要時間で行うことができます。
① 執刀はキャリア豊富なインプラント認定医によります

外科手術を伴うインプラント治療は、医師の高い技術を要求します。そこで当院のインプラント手術においては、MDIミニインプラント認定医資格を始めとして、数多のインプラントコースを修了している経験豊富なベテランである院長が自ら執刀を行います。インプラント手術の執刀経験も多く、様々な症例にも対応できますので、ご安心ください。
- 国際インプラント学会AIAI会員
- 日本審美歯科学会会員
- ストローマンインプラント サーティフィケイト取得
- GCインプラント サーティフィケイト取得
- サルゴンインプラント サーティフィケイト取得
- OGAインプラント サーティフィケイト取得
- MDIミニインプラント認定医
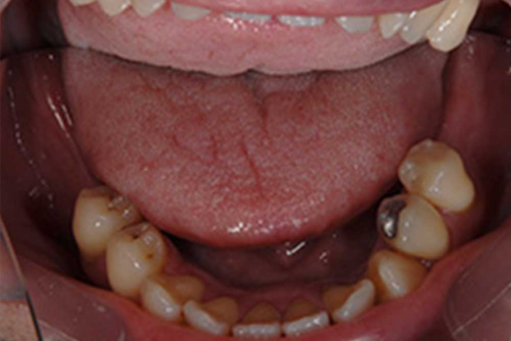
インプラント治療例のご紹介
治療前

治療後

奥歯で物が噛めないとのことで来院。骨量も特に問題なく骨移植なくインプラントができました。違和感もなく、なんでも噛めるようになったということでした。
| 年齢・性別 | 55歳 男性 |
|---|---|
| 治療費 | 1,210,000円(税込) |
| 治療期間 | 5ヵ月 |
| 通院回数 | 7回 |
| リスク・注意点 | 定期検診を継続するとインプラントは維持できますので、途切れずに通うことが大事です。ご自身の歯も同様ですが、日々のブラッシングにより、歯垢をしっかり取り除くことで、トラブルが減少しますが、当然に怠ってしまうと歯周病で抜けるリスクがありますので注意が必要です。 |
② 緻密・精密な診断を行うためにCTスキャンを用います

口腔内の状態を適切に把握するには、レントゲン写真のみでは足りません。インプラント手術を安全確実に行うために、骨の厚みや神経の位置などの情報を得ておく必要があります。そこで当院では治療前にCTスキャンを利用することで、歯の神経や血管の位置、骨の厚みなどを正確に掴みます。そうすることで施術前に計画をしっかり立てられ、シミュレーションも行えますので、インプラント手術の成功率が格段に向上するのです。インプラント治療を万全に行うためにも、CTスキャンの利用は欠かせません。
③ インプラント治療のリスクやデメリットもきちんとご説明します

インプラント治療には審美性や機能性といった面での様々な利点があります。しかし外科手術を行うわけですから、リスクやデメリットが全く存在しないというわけではありません。また無事手術に成功したとしても、その後の対処やメンテナンスがよくなければインプラント歯周炎を発症してしまう場合もあります。インプラント治療のリスクやデメリットをご理解いただくことが、結果としてトラブルの回避に繋がるのです。
インプラント治療を受ける際の注意点・リスクの一例
- インプラント埋入時は、顎骨周辺にある神経や血管を損傷する可能性がございます。
- インプラント埋入後は、日々のケアと定期メンテナンスが必要となります。怠るとインプラント周囲炎の発症リスクが高くなり、悪化によってインプラントが抜け落ちる場合がございます。
- 骨の状態や過度な力が加わった場合に、インプラントと骨が結合しない可能性がございます。
セカンドオピニオンにも対応
当院だけでインプラント治療を完結させることに心配のある方は、他院でセカンドオピニオンを受けることもできます。逆に他院からのセカンドオピニオンも受け付けております。
インプラント治療においても、患者様の治療へのご理解と納得は非常に大切です。当院では都合のいい情報だけではなく、リスクやデメリットに関してもきちんとご説明致しますので、ご安心ください。
④ 治療を安心して受けていただくための安全環境づくり
インプラント治療においても手術環境を整えることは重要です。適切な事前準備と環境づくりによって安全なオペができるため、患者様にもご安心いただけます。
個室オペ室と院内感染の防止

インプラント手術にあたっては専用の個室オペ室を完備し、滅菌体制も万全に整えた上で、手術中における院内感染防止を徹底しております。
サージカルガイドでの精密オペ

事前に手術のシミュレーションを行い、サージカルガイドというものを作ります。これを用いて安全かつスマートなガイドインプラント治療を行います。
事前シミュレーション

手術の精度をより高めるため、CTスキャンによるデータを用いて事前のシミュレーションを必ず実施致します。
⑤ インプラント治療対象者を広げる骨造成法も対応しております
インプラント治療は、性質上顎の骨の厚みや高さが一定以上である必要があります。というのは、顎の骨に直接インプラント体を埋め込むため、固定できるだけの骨量がなければならないからです。そのため骨量が少ない方はインプラント治療対象外となりがちです。ですが当院ではソケットリフトやサイナスリフトという骨造成法に対応しており、他院でインプラント治療を断られた方でも治療を受けていただける可能性があります。
ソケットリフト

ソケットリフトとは、上顎洞下部の骨が薄くはあるが5mm以上である場合に行われる方法で、インプラントを埋め込む穴の中に人工骨を入れることで骨を厚くします。
サイナスリフト

サイナスリフトとは、同様に上顎洞下部の骨が薄く、5mm以下である場合に行われる方法で、患者様の負担は増すものの骨の増加量はより多くなります。
⑥ インプラント治療後のアフターケアも万全に行います

長期間にわたってインプラントを快適な状態に保つには、治療して終わりではなく、その後のケアが必要となります。感染症などのインプラント周囲炎を防ぐためにも、毎日のメンテナンスは欠かせません。

インプラント周囲炎の怖さは、進行度の早さに加えて自覚症状の乏しさにあります。気がつけば症状がかなり進行してしまっているということもあり得ます。せっかくのインプラント治療後にそんなことになっては困りますので、当院では歯やインプラント体周囲のクリーニングといったアフターケアも万全に行います。
インプラント治療に関するQ&A
インプラント治療に年齢制限はありますか?
顎骨が成長段階にある未成年の方は、基本的には治療をしません。顎骨の成長が止まった成人が対象となります。また、高齢者であっても手術を受けられる健康状態であればインプラント治療が可能です。
インプラント手術は痛いですか?
インプラント埋入手術の際は、事前に局所麻酔を行います。手術中は麻酔がしっかりと効いていますので、痛みを感じることはありません。また、手術後は処方する痛み止めを服用していただきます。
インプラント手術の翌日は仕事や学校に行けますか?
手術は局所麻酔で行うため、入院なども必要ありません。手術後に仕事に行かれる方もいらっしゃいますので、翌日もいつもどおり出勤・通学していただけます。
※複数のインプラントを埋入した場合や骨を増やす手術を併用した場合は、翌日もゆっくり休めるよう、予定を調整した方が良いでしょう。
周囲からインプラントと気づかれることはありますか?
インプラントは、日々進化しています。人工歯についても天然歯の質感や色調を再現することができますので、注目される前歯であっても気づかれる可能性は極めて低いと言えます。
インプラント治療/料金一覧
※下記すべて税込となります。
また治療期間、回数はあくまで目安で症状により変動します。
(目安治療期間:3~12ヶ月 治療回数:2~6回)
| 名称 | イメージ | 特性 | 料金(税込) |
|---|---|---|---|
| インプラント(メタルボンドクラウン) | ![]() |
インプラント体が純チタンで作られており、金属アレルギーのリスクがより低くなります。被せ物がメタルボンドクラウン(金属の土台に陶材を焼き付けたもの)の場合の治療費です。 【インプラント:5年保証】 【メタルボンドクラウン:2年保証】 |
290,400円/本体 171,600円/メタルボンドクラウン 合計462,000円 |
| インプラント(ジルコニア) | ![]() |
インプラント体が純チタンで作られており、金属アレルギーのリスクがより低くなります。被せ物がジルコニアの場合の治療費です。 | 290,400円/本体 204,600円/ジルコニア 合計495,000円 |
▼インプラントオプション
| 名称 | イメージ | 特性 | 料金(税込) |
|---|---|---|---|
| インプラントガイド | ![]() |
より安全性を高めるためにインプラントガイドを作成しオペを行います。 | 49,500円/1個 11,000円/追加1歯分 |
| 骨移植(0.5g) | ![]() |
上顎臼歯部で骨の厚みが1~5㎜の場合に行う手術です。多量の人工骨を移植する場合に行います。 | 48,400円 |
インプラント+入れ歯
| 名称 | 料金(税込) |
|---|---|
| MDIミニインプラント(下顎) 1本 | 198,000円 |
| MDIミニインプラント(総義歯) 4本 | 792,000円 |
| インプラントフィクスチャー ボールアタッチメント 1本 |
インプラントフィクスチャー 290,400円 ボールアタッチメント 118,800円 合計409,200円 |
| インプラントフィクスチャー 磁性アタッチメント 1本 |
インプラントフィクスチャー 290,400円 磁性アタッチメント 132,000円 合計422,400円 |
| レジン義歯 | 1歯~4歯19,800円 5歯~8歯23,650円 9歯~11歯33,000円 12歯~14歯44,000円 総義歯55,000円 |
※本料金表は予告なく変更(改定)する場合があります。あらかじめご了承ください。
なお、実際の料金については治療開始前にご説明いたします。
自由診療キャンセルポリシー
当院では高品質な自由治療をご提供させていただくために治療に必要な時間と設備を確保してお待ちしております。
又、製作物は技工所へ外注となっております。そのため患者様ご都合によるキャンセルまたは中断に際してはキャンセルポリシーを設けておりますので、何卒ご了承くださいますようお願い申し上げます。
キャンセルのご連絡はお電話(0120-247-7733)でお知らせください。
| 治療開始後 | 10,000円 |
|---|---|
| 技工所製作外注後 | 10,000円 +技工所からの請求分 |
川越市でのインプラント治療希望者は相談へお越しください

川越市の歯科医院でインプラント治療を受けたいと思っておられる方は、ぜひ当院で行っているインプラントの相談にお越しください。セカンドオピニオンとしてのご利用も承っておりますので、そちらもお気軽にご利用ください。インプラント治療においては歯科医と患者様の意思連絡が大切です。もちろん治療後のアフターケアに関する体制も整えています。まことデンタルクリニックでは、皆様のご来院をお待ちしております。





