審美歯科・ホワイトニング症例 M.Kさん(36歳女性)
ホーム・オフィスホワイトニング → 上顎前歯6本ラミネートべニア という順に施術しました。
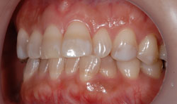
術前




ホーム&オフィス後




ラミネートべニア術後




ホームとオフィスホワイトニング後にラミネートべニアを前歯前面に施した症例。そのままラミネートべニアをしますと、暗い色が透けて、暗くなってしまいますので、事前にホワイトニングをしました。
| 年齢・性別 | 36歳 女性 |
|---|---|
| 治療費 | 660,000円(税込) (ラミネートベニア:モニター価格) ※現在はモニターを募集しておりません。 |
| 治療期間 | 2ヵ月 |
| 通院回数 | 7回 |
| リスク・注意点 | 見た目の維持にも定期検診が必ず必要になります。 |


