審美歯科症例 T.Hさん(31歳男性)
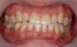
治療前

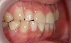
治療後

治療した部位と治療法・使用材料など(術後 正面写真)









上顎ハイブリッド前装冠2本、ラミネートべニア2本、下顎ハイブリッドインレー1本、インプラント2本、ハイブリッドフルベーク1本で咬み合わせ、見た目を修復しました。
| 年齢・性別 | 31歳 男性 |
|---|---|
| 治療費 | 1,100,000円(税込) (ラミネートベニア:モニター価格) ※現在はモニターを募集しておりません。 |
| 治療期間 | 5ヵ月 |
| 通院回数 | 8回 |
| リスク・注意点 | 治療後も審美的に良好な状態を保つために、3か月に一回の定期チェック、定期検診を受けましょう。 |


