審美歯科症例 M.Oさん(38歳男性)
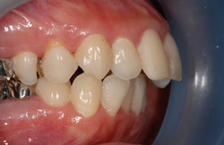
治療前


治療後






左右非対称だった上顎の歯を、オールセラミッククラウン2本で対称的に修正しました。
| 年齢・性別 | 38歳 男性 |
|---|---|
| 治療費 | 220,000円(税込) |
| 治療期間 | 2週間 |
| 通院回数 | 2回 |
| リスク・注意点 | 歯ぎしりをする方は、歯並びが変わってくることもあります。 |








左右非対称だった上顎の歯を、オールセラミッククラウン2本で対称的に修正しました。
| 年齢・性別 | 38歳 男性 |
|---|---|
| 治療費 | 220,000円(税込) |
| 治療期間 | 2週間 |
| 通院回数 | 2回 |
| リスク・注意点 | 歯ぎしりをする方は、歯並びが変わってくることもあります。 |