審美歯科症例 M.Sさん(38歳女性)
治療前


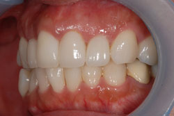
治療後




上顎4本の歯をオールセラミッククラウンで治療しました。
| 年齢・性別 | 38歳 女性 |
|---|---|
| 治療費 | 440,000円(税込) |
| 治療期間 | 1ヵ月 |
| 通院回数 | 3回 |
| リスク・注意点 | 3ヵ月に一度の定期検診を受けていただき、見た目にも維持をはかってきましょう。 |






上顎4本の歯をオールセラミッククラウンで治療しました。
| 年齢・性別 | 38歳 女性 |
|---|---|
| 治療費 | 440,000円(税込) |
| 治療期間 | 1ヵ月 |
| 通院回数 | 3回 |
| リスク・注意点 | 3ヵ月に一度の定期検診を受けていただき、見た目にも維持をはかってきましょう。 |