審美歯科症例 Y.Aさん(26歳女性)
治療前




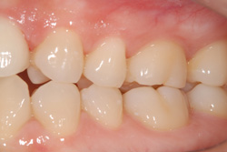
治療後




上顎4本をオールセラミッククラウンで修復しました。
| 年齢・性別 | 26歳 女性 |
|---|---|
| 治療費 | 440,000円(税込) |
| 治療期間 | 1ヵ月 |
| 通院回数 | 3回 |
| リスク・注意点 | 歯並びの変化や歯ぎしりがある方は、就寝時にマウスピースを装着します。 |








上顎4本をオールセラミッククラウンで修復しました。
| 年齢・性別 | 26歳 女性 |
|---|---|
| 治療費 | 440,000円(税込) |
| 治療期間 | 1ヵ月 |
| 通院回数 | 3回 |
| リスク・注意点 | 歯並びの変化や歯ぎしりがある方は、就寝時にマウスピースを装着します。 |