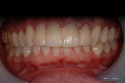
審美歯科症例 M.Tさん(30歳女性)
治療前



治療後



上顎4本の歯をオールセラミッククラウンで治療しました。
| 年齢・性別 | 30歳 女性 |
|---|---|
| 治療費 | 440,000円(税込) |
| 治療期間 | 1ヵ月 |
| 通院回数 | 3回 |
| リスク・注意点 | セラミックは強度が強いのですが、ぶつけたり衝撃で割れることがありますので注意しましょう。 |






上顎4本の歯をオールセラミッククラウンで治療しました。
| 年齢・性別 | 30歳 女性 |
|---|---|
| 治療費 | 440,000円(税込) |
| 治療期間 | 1ヵ月 |
| 通院回数 | 3回 |
| リスク・注意点 | セラミックは強度が強いのですが、ぶつけたり衝撃で割れることがありますので注意しましょう。 |