審美歯科症例 N.Mさん(46歳男性)|川越市・本川越の口コミで人気な歯医者・歯科

大型無料駐車場完備

全室個室診療

土曜・日曜診療

診療時間

急患対応・当日予約承ります

お問い合わせ・ご相談

※お電話のかけ間違いにご注意ください

0120-247-933

埼玉県川越市東田町16-11(無料駐車場・バリアフリー)

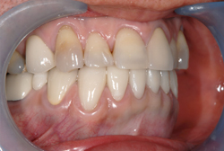
審美歯科症例 N.Mさん(46歳男性)

治療前

症例

症例

症例

症例

治療後

症例

症例

症例

症例

下顎の歯6本をオールセラミッククラウンで治療しました。

年齢・性別 46歳 男性
治療費 660,000円(税込)
治療期間 1ヵ月
通院回数 4回
リスク・注意点 普段はフロスと歯ブラシを使い清掃していきます。

つめ物・被せ物治療ページ>>

トップへ戻る