ホワイトニング症例 M.Iさん(24歳女性)
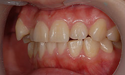
治療前



治療後



ホームホワイトニングで色素を取り除き、自然な白さにしました。
| 年齢・性別 | 24歳 女性 |
|---|---|
| 治療費 | 22,000円(税込) |
| 治療期間 | 3週間 |
| 通院回数 | 2回 |
| リスク・注意点 | 虫歯がありますと、ホワイトニング中に歯が痛くなることがありますので、ホワイトニング前に治療をしておきます。 |






ホームホワイトニングで色素を取り除き、自然な白さにしました。
| 年齢・性別 | 24歳 女性 |
|---|---|
| 治療費 | 22,000円(税込) |
| 治療期間 | 3週間 |
| 通院回数 | 2回 |
| リスク・注意点 | 虫歯がありますと、ホワイトニング中に歯が痛くなることがありますので、ホワイトニング前に治療をしておきます。 |