インプラント症例 S.Sさん(53歳女性)
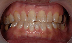
治療前





治療後





入れ歯がめんどくさいので他に方法がないかと来院。骨量もしっかりあり通常通りの埋入ができました。
| 年齢・性別 | 53歳 女性 |
|---|---|
| 治療費 | 330,000円(税込) |
| 治療期間 | 4ヵ月 |
| 通院回数 | 4回 |
| リスク・注意点 | 1本のインプラントでさほど管理は大変ではないですが、定期的な歯科医院でのクリーニングを進めております。 |










入れ歯がめんどくさいので他に方法がないかと来院。骨量もしっかりあり通常通りの埋入ができました。
| 年齢・性別 | 53歳 女性 |
|---|---|
| 治療費 | 330,000円(税込) |
| 治療期間 | 4ヵ月 |
| 通院回数 | 4回 |
| リスク・注意点 | 1本のインプラントでさほど管理は大変ではないですが、定期的な歯科医院でのクリーニングを進めております。 |