審美歯科症例 H.Oさん(38歳女性)|川越市・本川越の口コミで人気な歯医者・歯科

大型無料駐車場完備

全室個室診療

土曜・日曜診療

診療時間

急患対応・当日予約承ります

お問い合わせ・ご相談

※お電話のかけ間違いにご注意ください

0120-247-933

埼玉県川越市東田町16-11(無料駐車場・バリアフリー)

審美歯科症例 H.Oさん(38歳女性)

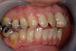
治療前

症例

症例

症例

症例

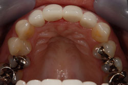
治療後

症例

症例

症例

症例

上顎4本の歯をオールセラミッククラウンで治療しました。

年齢・性別 38歳 女性
治療費 440,000円(税込)
治療期間 1ヵ月
通院回数 3回
リスク・注意点 定期検診で毎回ブラッシング指導を行っています。

つめ物・被せ物治療ページ>>

トップへ戻る