審美歯科症例 K.Aさん(27歳女性)
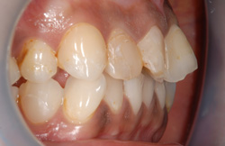
治療前




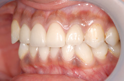
治療後




上顎の歯をオールセラミッククラウン4本で整えました。
| 年齢・性別 | 27歳 女性 |
|---|---|
| 治療費 | 440,000円(税込) |
| 治療期間 | 1ヵ月 |
| 通院回数 | 3回 |
| リスク・注意点 | セラミックは汚れが非常につきにくく、何年たっても変化がありませんが、維持して言うためには定期検診が必要です。 |








上顎の歯をオールセラミッククラウン4本で整えました。
| 年齢・性別 | 27歳 女性 |
|---|---|
| 治療費 | 440,000円(税込) |
| 治療期間 | 1ヵ月 |
| 通院回数 | 3回 |
| リスク・注意点 | セラミックは汚れが非常につきにくく、何年たっても変化がありませんが、維持して言うためには定期検診が必要です。 |