審美歯科症例 Y.Aさん(18歳女性)
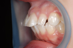
治療前




治療後




上顎前歯4本をオールセラミックで修復しました。
| 年齢・性別 | 18歳 女性 |
|---|---|
| 治療費 | 440,000円(税込) |
| 治療期間 | 1ヵ月 |
| 通院回数 | 3回 |
| リスク・注意点 | ブラッシング圧が強すぎますと、歯肉が退縮することがありますので、ブラッシングのやり方のチェックを行います。 |








上顎前歯4本をオールセラミックで修復しました。
| 年齢・性別 | 18歳 女性 |
|---|---|
| 治療費 | 440,000円(税込) |
| 治療期間 | 1ヵ月 |
| 通院回数 | 3回 |
| リスク・注意点 | ブラッシング圧が強すぎますと、歯肉が退縮することがありますので、ブラッシングのやり方のチェックを行います。 |