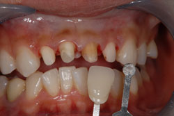
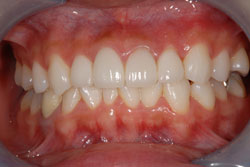
審美歯科症例 H.Aさん(26歳女性)
治療前



治療後




ホームホワイトニングで色素を取り除き、自然な白さにしました。
| 年齢・性別 | 26歳 女性 |
|---|---|
| 治療費 | 440,000円(税込) |
| 治療期間 | 1ヵ月 |
| 通院回数 | 3回 |
| リスク・注意点 | 2ヵ月たちますと、歯茎の中に歯石がたまることがありますので、定期検診でとってもらいましょう。 |







ホームホワイトニングで色素を取り除き、自然な白さにしました。
| 年齢・性別 | 26歳 女性 |
|---|---|
| 治療費 | 440,000円(税込) |
| 治療期間 | 1ヵ月 |
| 通院回数 | 3回 |
| リスク・注意点 | 2ヵ月たちますと、歯茎の中に歯石がたまることがありますので、定期検診でとってもらいましょう。 |