審美歯科症例 S.Kさん(39歳男性)
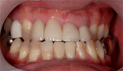
治療前

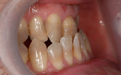
治療後

治療した部位と治療法・使用材料など(術後 正面写真)





硬質レジンジャケット冠上顎1本、オールセラミック上顎4本と下顎2本で反対咬合を修復できた症例です。
| 年齢・性別 | 39歳 男性 |
|---|---|
| 治療費 | 737,000円(税込) |
| 治療期間 | 2ヵ月 |
| 通院回数 | 6回 |
| リスク・注意点 | 日中でも食いしばったりする方はマウスピースを着用しましょう。 |


治療した部位と治療法・使用材料など(術後 正面写真)





硬質レジンジャケット冠上顎1本、オールセラミック上顎4本と下顎2本で反対咬合を修復できた症例です。
| 年齢・性別 | 39歳 男性 |
|---|---|
| 治療費 | 737,000円(税込) |
| 治療期間 | 2ヵ月 |
| 通院回数 | 6回 |
| リスク・注意点 | 日中でも食いしばったりする方はマウスピースを着用しましょう。 |