つめ物・被せ物の症例一覧
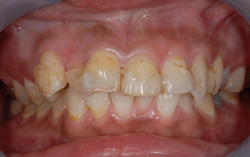
審美歯科症例 Y.Aさん(18歳女性)

治療前 治療後 上顎前歯4本をオールセラミックで修復しました。 年齢・性別 18歳 女性 治療費 440,000円(税込) 治療期間 1ヵ月 通院回数 3回 リスク・注意点 ブラッシング圧が強すぎますと、歯肉が退縮するこ […]
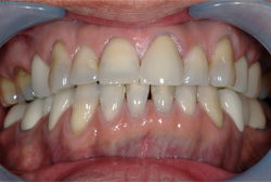
審美歯科症例 K.Iさん(28歳女性)

治療前 治療後 上顎4本をオールセラミッククラウンで治療しました。 年齢・性別 28歳 女性 治療費 440,000円(税込) 治療期間 1ヵ月 通院回数 3回 リスク・注意点 オールセラミックはステインが付きませんので […]
審美歯科症例 K.Mさん(37歳男性)

治療前 治療後 上顎2本の歯をオールセラミッククラウンで治療しました。 年齢・性別 37歳 女性 治療費 220,000円(税込) 治療期間 2週間 通院回数 2回 リスク・注意点 寝ているときに食いしばりや、歯ぎしりを […]
審美歯科症例 M.Tさん(26歳女性)

治療前 治療後 上顎3本の歯をジルコニアクラウンで修復しました。 年齢・性別 26歳 女性 治療費 396,000円(税込) 治療期間 1ヵ月 通院回数 3回 リスク・注意点 歯周病で歯茎が腫れている場合は先にその治療を […]
審美歯科症例 K.Yさん(25歳女性)

治療前 治療後 上顎4本をオールセラミッククラウンで修復しました。 年齢・性別 25歳 女性 治療費 440,000円(税込) 治療期間 1ヵ月 通院回数 3回 リスク・注意点 フロスをすることが必要です。必ず歯磨きをす […]
審美歯科症例 K.Kさん(44歳女性)

治療前 治療後 ジルコニアクラウンのブリッジで治療しました。 年齢・性別 44歳 女性 治療費 396,000円(税込) 治療期間 1ヵ月 通院回数 4回 リスク・注意点 ブリッジタイプは歯間ブラシを使ってください。 つ […]
審美歯科症例 R.Kさん(36歳女性)

治療前 治療後 上顎2本の歯をオールセラミッククラウンで修復しました。 年齢・性別 36歳 女性 治療費 220,000円(税込) 治療期間 2週間 通院回数 2回 リスク・注意点 歯肉から出血したり、腫れたりしている方 […]
審美歯科症例 Y.Nさん(37歳女性)

治療前 治療後 上顎の歯1本をオールセラミッククラウンで治療しました。 年齢・性別 37歳 女性 治療費 110,000円(税込) 治療期間 2週間 通院回数 1回 リスク・注意点 治療が完了した後も、定期検診が必要です […]
審美歯科症例 N.Mさん(46歳男性)

治療前 治療後 下顎の歯6本をオールセラミッククラウンで治療しました。 年齢・性別 46歳 男性 治療費 660,000円(税込) 治療期間 1ヵ月 通院回数 4回 リスク・注意点 普段はフロスと歯ブラシを使い清掃してい […]
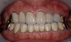
審美歯科症例 Y.Hさん(39歳女性)

治療前 治療後 下顎の歯9本をオールセラミッククラウンで治療しました。 年齢・性別 39歳 女性 治療費 990,000円(税込) 治療期間 2ヵ月 通院回数 6回 リスク・注意点 就寝時はマウスピースを着用しますと、ト […]


